Prótesis endoscópicas en el tratamiento de patología maligna esofágica

Pablo Machado
Gastroenterólogo. Endoscopista digestivo.
Servicio de Endoscopia Digestiva, Ce.V.En, MUCAM, Montevideo, Uruguay.

Rodrigo Dorelo
Gastroenterólogo. Endoscopista digestivo.
Servicio de Endoscopia Digestiva, Ce.V.En, MUCAM, Montevideo, Uruguay.


El cáncer de esófago (CE) es el octavo cáncer más frecuente en el mundo. Su incidencia presenta una de las variaciones geográficas más importantes, habiendo diferencias de hasta 60 veces entre zonas endémicas y zonas de baja incidencia. Las áreas de prevalencia más elevada son el sudeste de África, Irán, India y China.
Desde el punto de vista histológico, predominan ampliamente el carcinoma escamoso (CEE), que suele localizarse en tercio medio y superior esofágico, y el adenocarcinoma (AC), ubicado en tercio distal y/o unión esofagogástrica. Ambos tipos histológicos representan más del 95% de los tumores malignos esofágicos. La incidencia global del CE se incrementó en países occidentales en las últimas décadas, observándose un cambio en la tendencia de acuerdo con el patrón histológico, en el que el AC cuadriplicó sus tasas convirtiéndose en el subtipo más común en Estados Unidos.
Dentro de los factores de riesgo existen algunos comunes en ambos tipos histológicos, por ejemplo, el sexo masculino, la edad avanzada, el tabaquismo, el consumo de alcohol y la radioterapia local. Como factores de riesgo específicos para el CEE se destacan el alcohol, la acalasia, la ingesta de cáusticos, bebidas extremadamente calientes (mate, té, café), síndrome de Plummer-Vinson y la tilosis. El alcohol además de aumentar el riesgo de CEE aumenta también el riesgo de neoplasias de cabeza y cuello, las cuales pueden aparecer en forma sincrónica o metacrónica, manteniendo una relación dosis-respuesta (al igual que ocurre con el tabaco).
En cuanto a los factores de riesgo principales para el AC se destacan la obesidad, la raza blanca, la enfermedad por reflujo (ERGE) y el esófago de Barrett (EB). El riesgo de adenocarcinoma sobre un EB es entre 30 y 125 veces mayor respecto a la población general. El riesgo anual de transformación neoplásica del EB cuando no existe displasia es de solo el 0,1%, este porcentaje aumenta considerablemente cuando existe displasia de alto grado ya que entre 19% a 59% progresan a adenocarcinoma en un año. Por lo tanto, la displasia es el punto clave para guiar el seguimiento y eventual tratamiento de los pacientes con EB. Los síntomas y signos de presentación son comunes para ambos tipos histológicos, siendo la disfagia el síntoma más frecuente. Esta se caracteriza por ser permanente y progresiva, iniciándose para alimentos sólidos y en la evolución (días o semanas) afecta también la ingesta de líquidos. La disfagia se hace clínicamente evidente cuando el diámetro esofágico es igual o menor a 13 mm.
Otros síntomas frecuentes son la pérdida de peso (cuando es superior al 10% en los últimos seis meses es un factor de mal pronóstico), el dolor retroesternal o epigástrico, la disfonía (afectación del nervio recurrente), sialorrea, regurgitación, hipo (invasión transmural con afectación diafragmática), tos (fístula traqueo esofágica). En el examen físico el signo más frecuente es la desnutrición (que refleja el diagnóstico tardío de esta patología). Pueden existir adenopatías, hepatomegalia y derrame pleural, todos hallazgos que suelen indicar enfermedad metastásica.
La endoscopía digestiva alta, con toma de biopsias, es el método ideal para el diagnóstico. Puede aumentarse la rentabilidad diagnóstica de las biopsias mediante tinción con lugol o azul de metileno o utilizando tinción electrónica y magnificación como el NBI.
Alrededor de 50% de los pacientes con cáncer de esófago presentan una enfermedad irresecable o metastásica al momento del diagnóstico. A su vez, en menos del 60% de los pacientes con tumores resecables puede ser posible una resección curativa. Las diferentes modalidades de tratamiento que pueden aplicarse van a depender del estadio del tumor y del estado general del paciente.


Tratamiento endoscópico
El tratamiento endoscópico es aplicable a tumores confinados a la mucosa (T1a) en los que el riesgo de metástasis ganglionares es del 1% a 2%. Se divide en dos modalidades, por un lado, las técnicas de resección, y por otro, las técnicas ablativas. Las de resección incluye la EMR y la disección submucosa endoscópica (DSE). La eficacia terapéutica de estas técnicas es del 98% y las principales complicaciones que presentan son la hemorragia, la perforación y la estenosis residual. La radiofrecuencia y la terapia fotodinámica son las técnicas ablativas que normalmente se usan asociadas a las anteriores para eliminar tejido displásico o metaplásico residual del EB. Para el estadio T1a el tratamiento endoscópico y el quirúrgico muestran tasas de supervivencia comparables.
El otro aspecto para destacar de la endoscopía es su utilidad en el tratamiento paliativo del cáncer de esófago. Mediante la colocación de prótesis o stents se consigue de forma rápida y efectiva paliar la disfagia y mejorar la ingesta nutricional.


Tipos de prótesis e indicaciones
Existen diferentes diseños de stent disponibles que varían en el material (plástico, metal, biodegradables), cubierta, diámetro y características antimigración. Los stents metálicos autoexpandibles parcialmente cubiertos (SMAEPC) y los stents metálicos autoexpandibles totalmente cubiertos (SMAETC) se utilizan con mayor frecuencia en la práctica actual.
Las prótesis plásticas autoexpandibles están compuestas por poliéster y están indicadas en algunos casos como puente a la cirugía o RT, dado que producen menos reacción hiperplásica del tejido, menos traumatismo local y menor desarrollo de fístulas que las metálicas. Además, facilitan una eventual anastomosis y su retirada durante el acto quirúrgico.
Actualmente la Sociedad Europea de Endoscopia Gastrointestinal (ESGE) desaconseja la colocación de stents plásticos para paliar las estenosis esofágicas malignas. Las prótesis biodegradables están hechas de un material de sutura quirúrgica, polidioxanona, están descubiertas y no tienen válvula antirreflujo. El stent se degrada completamente en aproximadamente tres meses. Se han utilizado en las estenosis malignas para aliviar la disfagia durante la terapia neoadyuvante y como tratamiento para las estenosis refractarias benignas.

Figura 1. Neoplasma de esófago distal.


Figura 2. Colocación de stent autoexpandible.

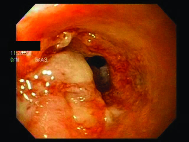
Figura 3. Estenosis en esófago distal por neoplasma de la unión gastro esofágica.


Figura 4. Vista desde el fundus del tumor y el stent colocado.


Figura 5. Stent autoexpandible correctamente posicionado vista desde esófago.


Los stent metálicos autoexpandibles (SMAE) son el tratamiento de elección para control de la disfagia en pacientes con neoplasia localmente avanzada no metastásica, así como para el control de algunas complicaciones asociadas al tratamiento primario como las fístulas aéreo-esofágicas y las estenosis tanto benignas (secundarias a QT/RT) como malignas (por recidiva tumoral). No se recomienda la colocación de SMAE como puente a la cirugía o antes de la quimiorradioterapia preoperatoria dado que se asocian con una alta incidencia de eventos adversos, en estos casos son preferibles otras opciones, como la colocación de una sonda de alimentación.
Existen múltiples tipos de SMAE disponibles. Difieren en términos de diseño, diámetro luminal, fuerza radial, flexibilidad y grado de acortamiento después del despliegue. En cuanto a la composición de las endoprótesis, pueden ser de tres tipos: no recubiertas, parcialmente recubiertas o totalmente recubiertas. Las endoprótesis parcialmente recubiertas están descubiertas en sus extremos, lo que permite que la endoprótesis se incruste en el tejido y ayuda a prevenir la migración. Los stents totalmente recubiertos ofrecen como ventaja el ser potencialmente removibles, pero están asociados con mayor riesgo de migración y estan indicados principalmente para las patologías benignas. Las endoprótesis descubiertas tienen menor probabilidad de migrar, pero están sujetas al crecimiento interno del tumor y la obstrucción resultante. Además, algunos de estos stents tienen una válvula antirreflujo para tratar de prevenir el reflujo esofágico.
Los stents varían en longitud de 6 a 19,5 cm, y en el diámetro del eje de 10 a 23 mm. Globalmente los más utilizados son los SMAE parcial o totalmente recubiertos, ya que los no recubiertos presentan altas tasas de complicaciones debido a su enterramiento por el crecimiento tumoral. En definitiva, la elección de la prótesis dependerá de las características anatómicas y de la localización del tumor, de las preferencias del paciente, del lugar, la disponibiliadad y la capacitación del endoscopista.
Para los pacientes con mayor esperanza de vida se recomienda combinar la colocación de stent con la braquiterapia. La braquiterapia puede proporcionar una ventaja de supervivencia y posiblemente una mejor calidad de vida en comparación con la colocación de SMAE sola.
Las recomendaciones para los pacientes con fístula esofagorrespiratoria (fístula traqueoesofágica [TE] o bronquioesofágica) y estenosis esofágicas posradioterapia están bien establecidas:
Fístula TE. No se recomienda la colocación de stents esofágicos como tratamiento puente a la cirugía o a la quimiorradioterapia para control de la disfagia (es preferible colocar una sonda nasogástrica o nasoyeyunal), debido a que se ha visto que el riesgo de fistulización es mayor cuando el tratamiento de QT/RT se realiza posterior a la colocación de las prótesis. Por eso, solo está indicada la colocación de SMAE tras haber recibido dicho tratamiento. Las fístulas TE se producen con más frecuencia en el CEE que en el AC debido a que el primero suele localizarse más próximo a las vías respiratorias. Entre 5% y 15% de los cánceres de esófago se complica con una fístula TE o broncoesofágica. Muchos estudios demuestran la resolución de fístulas esofagoaéreas con la colocación de PMAE, y se logra la recuperación de síntomas y el cierre de la fístula entre 75% y 100% de los casos. Las alternativas endoscópicas a la colocación de stent en las fístulas TE son la gastrostomía y la yeyunostomía. Sin embargo, éstas han demostrado ser inferiores en el control de los síntomas como la disnea, disfagia, sequedad de boca, tos o hipersialorrea.
Estenosis. Las estenosis posteriores a la RT pueden ser benignas o malignas y pueden llevar a disfagia recurrente. La prevalencia de estenosis post RT malignas y no malignas es similar. La mayoría de los pacientes con estenosis benignas se dilata con éxito y tiene una tasa de supervivencvia de 12 meses del 88%, en comparación con el 19% de los pacientes con estenosis malignas.
Técnica de colocación: clásicamente los stents se han colocado bajo control radiológico porque el diámetro de estos no permitía su paso a través del canal de trabajo terapéutico de un endoscopio convencional. Sin embargo, también se han desarrollado endoprótesis que permiten su colocación bajo visión directa a través del endoscopio (through the scope), debido a que se pueden introducir por un canal de 3,7 mm de diámetro. Otro método de colocación con control endoscópico es introduciendo el endoscopio en paralelo al sistema de liberación de la prótesis.
La elección del stent se basa en la ubicación y las características de la estenosis. Para estenosis cerca del esfínter esofágico superior se recomiendan los stents metalicos con diámetros más pequeños (incluidos los stents traqueales y biliares) con una fuerza radial más baja para minimizar los eventos adversos y mejorar la tolerabilidad. Los stents colocados proximalmente pueden causar compresión traqueal y aumentar el riesgo de eventos adversos (perforación, formación de fístulas y neumonía por aspiración) y son menos tolerados debido al dolor y la sensación de globo.
Para las estenosis esofágicas medias, no se ha demostrado ninguna diferencia en los efectos adversos entre los SMAETC y SMAEPC.
Es preferible colocar el stent completamente dentro del esófago para evitar atravesar el esfínter esofágico inferior y así prevenir el reflujo gastroesofágico y disminuir el riesgo de migración. Para las estenosis esofágicas distales se prefiere los stents de mayor diámetro para disminuir las tasas de migración.
Algunas lesiones avanzadas no permiten el paso del endoscopio convencional o de la misma prótesis, por lo que requieren de una dilatación previa para poder colocar endoscópicamente las endoprótesis o de la colocación de una guía bajo control radiológico. De hecho, los fabricantes recomiendan la dilatación inicial de la estenosis a un diámetro luminal mínimo, generalmente de 6 a 10 mm para permitir el paso del stent. En algunos casos seleccionados, se puede valorar la colocación directa del stent en paralelo al endoscopio ultrafino, que sí permitiría sobrepasar la estenosis y la visión directa. La longitud de la estenosis se debe medir con precisión utilizando como referencia la distancia proximal y distal desde la arcada dentaria, y se debe elegir un stent que sea al menos 4 cm más largo que la neoplasia o la estenosis, debido a que la prótesis se acorta una vez que se expande por completo. La mayoría de las prótesis empiezan a liberarse (abrirse) por su extremo distal, sin embargo, el modelo Ultraflex R de prótesis esofágica incluye la posibilidad de liberación proximal, lo que puede resultar especialmente útil para controlar su posición en lesiones cercanas al esfínter esofágico superior.
Aquellos pacientes con tumores en esófago medio y proximal grandes y voluminosos deben ser evaluados detenidamente por el elevado riesgo de compresión traqueal. Para ello, deben revisarse las imágenes de la TAC para determinar si existe, ya antes de la colocación del stent, una compresión traqueal. Tales pacientes pueden beneficiarse de la colocación de prótesis en las vías respiratorias antes de la colocación del stent esofágico. Luego de la colocación del stent el paciente debe ser instruído para realizar una dieta evitando alimentos fibrosos y densos (como trozos grandes de carne, brócoli).
Una vez colocada una PMAE, se expande contra la estenosis y el tejido circundante. Esto ancla el stent y ayuda a prevenir la migración. Aún así, la migración distal no es infrecuente por lo que en algunos casos puede requerir fijar el stent mediante métodos de sutura endoscópica o colocación de clips. Para la inserción del stent en el esófago muy distal, es importante no dejar una longitud excesiva del stent dentro del estómago, ya que el stent puede entrar en contacto con la pared gástrica opuesta, lo que povoca obstrucción o ulceración.
Eficacia: el tratamiento paliativo de elección para la disfagia, las SMAE total o parcialmente recubiertas, alcanza de manera general el alivio de la disfagia en más del 95% de los casos. Hasta el 50% de los pacientes puede necesitar un segundo procedimiento endoscópico por crecimiento tumoral, rotura o migración de la prótesis. En las recidivas tumorales, la tasa de éxito llega al 98%. En estos casos, se recomienda el uso de prótesis no recubiertas y, si fuera preciso, posteriormente la tunelización con algún método de ablación.
Seguridad: cada tipo de stent puede tener diversos grados de problemas durante el despliegue o en el seguimiento, especialmente la migración, la obstrucción o la ulceración. Los acontecimientos adversos graves, como la mortalidad después de la colocación inicial del stent esofágico, son poco frecuentes, pero los efectos adversos a largo plazo ocurren con más frecuencia. Apróximadamente del 0,5% al 1% de los pacientes muere como resultado de la colocación del stent debido a una variedad de acontecimientos adversos, incluidos los relacionados con la sedación, la aspiración, mal posicionamiento del stent o la perforación esofágica. Los factores de riesgo para acontecimientos adversos se pueden clasificar según el momento en que se produjeron como intraprocedimiento, posprocedimiento o diferidos.
Los intraprocedimientos incluyen aquellos asociados con la anestesia, aspiración, mala posición y perforación esofágica. Los acontecimientos adversos posprocedimiento incluyen dolor torácico, sensación de cuerpo extraño, sangrado, compresión traqueal y paro respiratorio. Los acontecimientos diferidos son de especial cuidado en pacientes con mayor supervivencia e incluyen la migración del stent, la fístula TE o broncoesofágica, reflujo, disfagia recurrente, sangrado, perforación y oclusión del stent.
Finalmente, mencionamos el tratamiento quirúrgico, el cual está indicado con intención curativa en tumores T1aN0 o T1bN0, o tras un tratamiento de inducción (generalmente radioquimioterapia), cuando este está indicado. Existen diversas técnicas quirúrgicas sin diferencias significativas en la supervivencia, las más usadas son las esofagogastrectomías transtorácicas (Ivor-Lewis) o transhiatales. La linfadenectomía debe ser en bloque y para una correcta estadificación debe resecarse al menos 15 ganglios.
En cuanto a la radioterapia y quimioterapia, globalmente el CEE responde mejor a la quimioterapia, la radioterapia o a ambas que el AC, a pesar de ser un tipo histológico más agresivo en su evolución natural.
Dado que se trata de una neoplasia que suele diagnosticarse en estadios avanzados, la resección total del tumor solo se logra en una minoría de los pacientes por lo que el tratamiento que suelen recibir es el neoadyuvante mediante radioterapia y quimioterapia, seguido luego de una cirugía con intención curativa.
El tratamiento de primera línea es carboplatino y paclitaxel combinado con radioterapia externa durante cinco semanas. Es de suma importancia realizar una correcta reevaluación de la extensión neoplásica luego del tratamiento de inducción. En caso de que sea posible una resección quirúrgica radical, debe realizarse a las tres semanas de finalizada la neoadyuvancia. Con este tratamiento combinado es posible rescatar hasta 30% de pacientes, que de otra manera recibirían únicamente tratamiento con intención paliativa.
En la actualidad se encuentran en estudio terapias dirigidas contra moléculas específicas que se sobreexpresan o que participan en la patogénesis y evolución de esta neoplasia. El receptor HER-2 (relacionado con la patogenia de este tumor) se encuentra sobreexpresado en 25% de los casos de AC y en 10% de los CEE. Se están realizando diversos estudios con tratamientos que incluyen anticuerpos monoclonales como el trastuzumab y el cetuximab en asociación con la quimioterapia.
Debido a lo tardío del diagnóstico, debe adquirir mayor importancia la prevención primaria de esta neoplasia, estimulando al abandono del habito tabáquico y el alcohol, el tratamiento adecuado de la enfermedad por reflujo gastroesofágico, las estenosis esofágicas o la acalasia. En caso de diagnóstico de esófago de Barrett, éste debe ser seguido por especialista que indicará los controles necesarios según la presencia o no de displasia y el grado de esta. El aumento en la dieta de verduras, frutas y fibra han demostrado un efecto beneficioso en cuanto a la prevención.

Bibliografía

  1. N. Vakil, A.I. Morris, N. Marcon, et al. A prospective, randomized, controlled trial of covered expandable metal stents in the palliation of malignant esophageal obstruction at the gastroesophageal junction. Am J Gastroenterol, 96 (2001), pp. 1791-1796.
  2. D. Saranovic, A. Djuric-Stefanovic, A. Ivanovic, et al. Fluoroscopically guided insertion of self-expandable metal esophageal stents for palliative treatment of patients with malignant stenosis of esophagus and cardia: Comparison of uncovered and covered stent types. Dis Esophagus, 18 (2005), pp. 230-238.
  3. D. Bona, L. Laface, L. Bonavina, et al. Covered nitinol stents for the treatment of esophageal strictures and leaks. World J Gastroenterol, 16 (2010), pp. 2260-2264.
  4. Pennathur A, Gibson MK, Jobe BA, Luketich JD. Oesophageal carcinoma. Lancet. 2013; 381:400–412.
  5. Huang F-L, Yu S-J. Esophageal cancer: risk factors, genetic association, and treatment. Asian J Surg. 2018; 41:210–215.
  6. Watanabe M. Recent topics and perspectives on esophageal cancer in Japan. JMA J. 2018; 1:30–39. doi: 10.31662/jmaj.2018-0002.
  7. Spaander MCW, van der Bogt RD, Baron TH, et al. Esophageal stenting for benign and malignant disease: European Society of Gastrointestinal Endoscopy (ESGE) Guideline – Update 2021. Endoscopy. 2021;53(7):751-762.
  8. Didden P, Reijm AN, Erler NS, et al. Fully vs. partially covered selfexpandable metal stent for palliation of malignant esophageal strictures: A randomized trial (the COPAC study). Endoscopy 2018; 50:961–71.
Es el octavo cáncer más frecuente en el mundo y algunos de sus síntomas frecuentes son la pérdida de peso, el dolor retroesternal o epigástrico, la disfonía, sialorrea, regurgitación, hipo, tos. En el examen físico el signo más frecuente es la desnutrición, que refleja el diagnóstico tardío de esta patología. Pueden existir adenopatías, hepatomegalia y derrame pleural, todos hallazgos que suelen indicar enfermedad metastásica.
Facebook
Twitter
LinkedIn